Түнхний үе бүтэн солих мэс засал (THA)

Түнхний үе солих мэс засал гэж юу вэ

Тодорхой шалтгааны улмаас ТҮНХНИЙ ҮЕ хэвийн бүтцээ эргэшгүйгээр алдаж,үений хөдөлгөөн хязгаарлагдаж,байнгын өвдөлт зовиуртай болсон тохиолдолд ТҮНХНИЙ ҮЕ-ийг ХИЙМЭЛ ҮЕ-ээр солих мэс заслын арга юм.

Түнхний үе бүтцээ алддаг шалтгаанууд

Остеоартрит

Насжилттай холбоотой үүсдэг үений мөгөөрсөн эдийн элэгдэл бөгөөд ихэвчлэн 50 болон түүнээс дээш насныханд түлхүү илэрдэг. Энэхүү артритийг удамшлын гаралтай ч гэж үздэг. Зовиур үүсгэж буй гол шалтгаан нь үений мөгөөрсөн эдийн тэжээл алдагдаж, хатуурч элэгдэж байхгүй болсоноор яс ясаараа үрэлцэх ба энэ тохиолдолд хүчтэй өвдөлт үүсгэдэг. Мөн төрөлхийн үений эмгэг болон тэнхлэгийн гажигын улмаас остеоартрит үүсэж болдог.

Рематойд артрит

Хүний биеийн дархлалын систем өөрийн үений эд эсийн эсрэг хариу урвал үзүүлсэнээр өөрийн үений бүрхүүл үрэвсэж, зузаарч эхэлдэг. Удаан хугацааны турш үений бүрхүүл дээр явагдсан үрэвсэл үений мөгөөрсөн хэсгийг мөн гэмтээж өвдөлт зовиур үүсгэдэг. Үрэвслийн артрит-ийн хамгийн түгээмэл төлөөлөгч бол РЕМАТИОД АРТРИТ юм.

Түнхний толгойн судасны үхжилт хэлбэр

Түнхний үений толгойн хэсэг хугарал гэмтэл,алкохол их хэмжээгээр хэргэлдэг болон системийн өвчинтэй хүмүүс уг өвчний улмаас шалтгаалан грамон эмчилгээ удаан хугацаанд хийлгэснээр түнхний толгой хэсгийн судасны үйл ажиллагаа алдагдсанаар толгой хэсэг тэжээлгүй болж үхжилт өөрчлөлтөнд ордог.

Бага насны түнхний өөрчлөлт

Нярай болон бага насанд хүүхдийн түнхний үе төрөлхийн өөрчлөлт болон түнхний үений мултралтай байдаг. Гэсэн хэдий ч нас биенд хүрсний дараа артрит өөрчлөлтөнд орж өвдөлт зовиуртай болдог. Зарим тохиолдолд түнхнй дутуу хөгжлөөс шалтгаалан хоёр хөлийн урт харилцан адилгүйурт богино болдог. Энэ үед түнхний үеийг бүрэн солих мэс засал хийнэ.

Түнхний үе хамарсан хавдар

Түнхний их бага төвгөр болон түнхний хүзүү толгой мөн сүүжний тогой хэсгийг хамарсан ясны болон холбогч эдийн гаралтай хортой болон хоргүй хавдарын үед үүссэн хавдарыг авч үе болон мөчдийг хадгалах зорилгоор түнхний үеийг бүтэн солих мэс засал хийнэ.

Түнхний хүзүү болон их бага төвгөр хамарсан үеийн хугарал

Өндөр настай болон ясны сийрэгжилт өндөр хүмүүс ахуйн болон механик гэмтлийн улмаас шалтгаалан түнхний үений хүзүү хэсгээр болон их бага түвгэр хамарсан хугарал үүсдэг. Энэ үед өндөр настай архаг хууч өвчинтэй болон ясны сийрэгжилт өндөр,хугарал үүсэж удсан тохиолдолд түнхний үеийг бүрэн солих мэс ажилбар хийгдэж байгаа.

Өвчний аль үе шатанд таньд мэс засал эмчилгээг санал болгох вэ

  • Түнхний өвдөлт таны өдөр тутмын амьдралын үйл ажиллагаанд нөлөөлж,хөдөлгөөн хязгаарлагдаж, алхах, гишгэх, сууж босох үед байнга өвдөлттэй байх.

  • Өдөр болон шөнийн цагаар хөдөлгөөнгүй амарч байх үед өвдөлт хэвээр байх.

  • Эмийн эмчилгээ, хөдөлгөөн засалд өвчин намдахгүй байх үед.

Түнхний үеэнд суулгасан хиймэл үений эрт болон хожуу үеийн ховхрол

Хиймэл түнхний үе нь 10-20 жил хүний биед ашиглагдах болмжтой боловч тухайн хүний биейин жин болон ясны сийрэгжилт зэргээс харилцан хамааралтай байдаг. Мөн элэгний хатуурал, чихэрийн шижин өвчин, амны хөндийн халдвар болон бусад халдвар үүсгэгч нян бактерийн улмаас болж түнхний үеэнд суулгасан хиймэл үеэнд халдвар дамжин цаашлаад хиймэл үе ховхрох хөдөлгөөн орох зэрэг хүндрэл гардаг.

Энэ үед хиймэл үеийг дахин солих болон суулгацыг авах мэс заслын ажилбар хийгдэг.

Та мэс заслын дараа доорх шинж тэмдэг илэрвэл эмчид яаралтай үзүүлэх шаардлагатай

  • Биеийн халуун 38-с их байх

  • Бие зараах

  • Түнхний үе орчим хавдах уйлах халуу оргих зовиур нэмэгдэх

  • Мэс заслын шархнаас бохир шүүс гарах

  • Тайван болон хөдөлгөөнтэй байх үед түнхний үений өвдөлт их байх

Бусад анхаарах зүйлс

Мэс заслын дараа эхний 6-н долоо хоногын турш түнхний үеээр суух нугалах унтах үед анхааралтай байх хэрэгтэй. Эдгээр хөдөлөгөөнийг болгоомж үгүй хийвэл түнхний үе мултрах аюултай. Урьдчилан сэргийлэх аргууд нь түнхний үе солих мэс засал аль хүрцээр мэс заслыг хийсэнээс шалтгаалдаг. Иймээс эмнэлгээс гарах үедээ хориглох хөдөлгөөний талаар та эмчээс асууж мэдээлэл авах шаардлагатай байдаг

Унахаас сэргийлэх

Мэс заслын дараа эхний 7-10-н долоо хоногт унаж гэмтэх нь давтан мэс засалд орох эрсдэлийг нэмэгдүүлдэг. Түнхний үений хөдөлгөөн болон булчингын үйл ажиллагаа бүрэн сэргээгүй үед шатаар явах нь эрсдэлтэй байдаг. Суга таяг болон гар таяг мөн тусгай вокерийн тусалцаатай явах хэрэгтэй. Эмчээс мэс заслын дараа та ямар явах хэрэгсэлийг хэрэглэх талаар зөвөлгөө авах шаардлагатай.

Түнхний толгой хэсгийн цусан хангамжийн алдагдалын улмаас үхжилт өөрчлөлттэй өвчтөний мэс заслын өмнөх болон дараах рентген зураг

Түнхний үе бүтэн солих мэс засал (THA) image1Түнхний үе бүтэн солих мэс засал (THA) image2

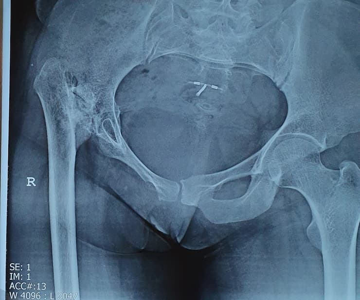
Түнхний үений төрөлхийн мултрал дутуу хөгжилтэй өвчтөний мэс заслын өмнөх болон дараах рентген зураг

Түнхний үе бүтэн солих мэс засал (THA) image3Түнхний үе бүтэн солих мэс засал (THA) image4

Түнхний толгой хэсгийн цусан хангамжийн алдагдалын улмаас үхжилт өөрчлөлттэй залуу өвчтөнд хүзүү хэсгийн богино шилбэний хиймэл үе суулгах мэс заслын өмнөх болон дараах рентген зураг

Түнхний үе бүтэн солих мэс засал (THA) image5Түнхний үе бүтэн солих мэс засал (THA) image6

Түнхний үеийг хамарсан хавдарын үед хиймэл үе суулгах мэс заслын өмнөх болон дараах зураг

Түнхний үе бүтэн солих мэс засал (THA) image7Түнхний үе бүтэн солих мэс засал (THA) image8Түнхний үе бүтэн солих мэс засал (THA) image9